2020-06-27 作者:吴亚松 来源:新苏网 浏览量:
面包馒头放久了会变硬,脑子“变硬”倒是鲜有耳闻。近日,苏州科技城医院神经内科就收了一个脑子“变硬”的病人。现年30出头的周女士最近因工作劳累常常出现头晕头胀的情况,情绪烦躁容易生气,夜间睡眠也不好,症状基本上每天都会出现,有一天周女士实在忍受不了了,于是到医院检查。神经内科主治医师李瑞霞建议周女士做CT检查,这一查才发现周女士的两侧大脑及小脑出现多发对称性钙化影。

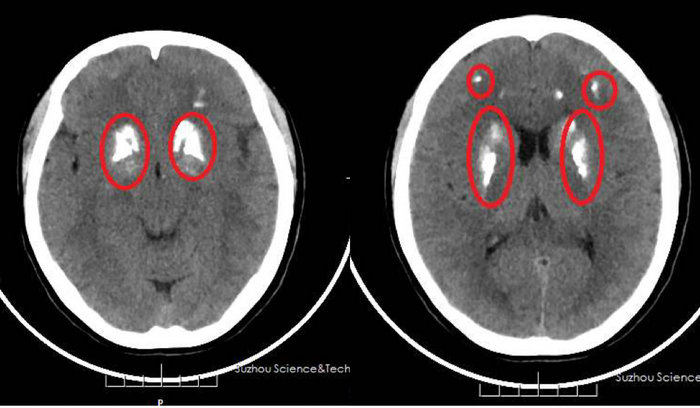
周女士的两侧大脑及小脑出现多发对称性钙化影
周女士立即住院进行系统检查,完善了电解质、甲状腺旁腺激素、维生素D、24小时尿钙测定、风湿免疫等指标均未发现明显异常,而且又完善了头颅磁共振平扫和增强检查再一次明确了这些病灶就是钙化灶。那究竟是什么原因导致周女士脑子里会有这么多钙化的呢?周女士有些着急。神经内科主任蔡增林建议周女士完善基因检测进一步明确有无基因方面的问题,报告回报后证实了蔡增林的猜测。
蔡增林介绍:根据患者的症状、检查结果以及基因监测结果,该患者诊断为特发性基底核钙化,又称Fahr病。该病是以双侧基底节对称性钙质沉着为病理学特征的一组疾病,常有家族遗传,临床表现为进行性痴呆、椎体外系症状和癫痫发作。目前仍为该病主要与以下因素有关:1.遗传因素多为散发亦有家族性发病报告呈常染色体隐性或显性遗传。2.外源性毒物激活脑内谷氨酸受体,产生神经毒作用导致钙沉积。3.铁及磷酸钙代谢异常在Farh病发病机制中占重要地位。4.免疫因素。Farh病尚无特效疗法,主要对因及对症治疗。
蔡增林解释说,但并不是所有颅内钙化都是Farh病,正常人也可出现颅内钙化,尤其是40岁以上出现多考虑为生理性,无特殊临床意义,不需要过分担心。虽然Fahr病目前尚无特效根治办法,但可予对症治疗,使用抗帕金森病药物及控制手徐动症药物可改善椎体外系症状,若出现精神症状可使用抗精神病药物。一旦确诊Fahr病不要过分焦虑,可适当运动康复锻炼。(陈峰、陈欣雅)
新闻链接:头昏脑胀!苏州一女子脑子“变硬”了