2020-06-27 作者:陆珏 来源:苏报集团(引力播) 浏览量:
面包馒头放久了会变硬,脑子“变硬”倒是鲜有耳闻。近日,苏州科技城医院神经内科就收治了一名脑部“变硬”的病人。
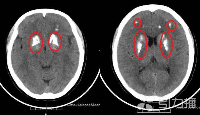
据了解,现年31岁的周女士常常出现头晕头胀的情况,情绪烦躁容易生气,夜间睡眠也不好,日前到苏州科技城医院就诊。该院神经内科主治医师李瑞霞建议周女士做CT检查,这一查发现,周女士的两侧大脑及小脑的多处出现对称性钙化影(如图所示)。于是李瑞霞建议她立即办理住院进行系统检查。

周女士住院后完善了电解质、甲状腺旁腺激素、维生素D、24小时尿钙测定、风湿免疫等指标,均未发现明显异常。通过头颅磁共振平扫和增强检查,再一次明确了这些病灶就是钙化灶。
那究竟是什么原因,让年轻的周女士脑部发生这样严重的钙化、“变硬”情况呢?患者有些着急。神经内科主任蔡增林建议她完善基因检测,进一步明确有无基因方面的问题,结果证实了蔡增林的猜测。
蔡增林介绍,根据患者的症状、检查结果以及基因检测结果,该患者诊断为“特发性基底核钙化”,又称“Fahr病”。该病是以脑部双侧基底节对称性钙质沉着为病理学特征的一组疾病,常有家族遗传性,早期可表现为头晕、头痛,逐渐发展为认知功能障碍、运动障碍、不自主运动、肌张力增高、癫痫发作等症状。
除了遗传,目前认为该病主要还与外源性毒物、铁及磷酸钙代谢异常、免疫功能等因素有关。该病尚无特效疗法,主要对因及对症治疗,并加以运动康复锻炼。
住在周女士隔壁病床的张阿姨听闻后,连忙问道:“蔡主任,我头颅CT报告上也写了基底节钙化,是不是我也得这个病了?”蔡增林表示,并不是所有颅内钙化都是“Farh病”,正常人也可出现颅内钙化,尤其是40岁以上出现多考虑为生理性,无特殊临床意义,不需要过分担心。(苏报融媒记者 陆珏 通讯员 陈峰 陈欣雅)
新闻链接:女子总是头晕失眠 竟因脑子“变硬”了